Análisis de Sangre con IA
Sangre Viva es el primer sistema que combina microscopía de Campo Oscuro con Inteligencia Artificial para potenciar a los profesionales de la salud en medicina predictiva, ampliando su capacidad diagnóstica con datos visuales precisos.
¿Cómo Funciona?
Nuestro sistema utiliza tecnología de punta para analizar tu sangre a nivel celular
Gota de Sangre
Una simple gota de sangre de la punta del dedo
Microscopio Digital
Imágenes de alta resolución bajo microscopio de Campo Oscuro
Análisis con IA
Clasificación de células y detección de anomalías impulsadas por IA
Informe Personalizado
Reporte detallado con información y recomendaciones
Uso Profesional
Utilizado por médicos, clínicas y profesionales de la salud
Seguimiento y Control
Monitoreo continuo de la evolución del paciente con análisis comparativos
Ve Lo Que Otros No Ven
Y Gana Mucho Con Eso
En solo 48 horas, implementas un nuevo servicio que transformará tu práctica profesional
Dinámica Celular
En tiempo real durante la consulta
Patrones Ocultos
Que los exámenes convencionales no detectan
Desequilibrios Tempranos
Antes de que se conviertan en síntomas
Lenguaje Silencioso
De la sangre viva revelado
No se trata solo de tecnología
Se trata de elevar tu valor percibido, multiplicar tu capacidad diagnóstica y conquistar pacientes con algo que pocos ofrecen: prevención con inteligencia, propósito y claridad
Existe un Momento que Define tu Legado
Durante mucho tiempo, el cuidado de la salud fue reactivo. Solo se actuaba cuando el dolor ya se había presentado.
Pero eso está cambiando. Y tú puedes liderar esta transformación.
Sé Pionero en la Salud del Futuro
Sangre Viva es para quienes creen que cuidar es anticipar. Para quienes quieren convertir atención en experiencia, evidencia en autoridad y propósito en rentabilidad.
Es para quienes quieren ganar con ética
¡Haciendo lo correcto!
El futuro de la salud es predictivo. ¿Estás listo para liderar este movimiento?
Beneficios para Profesionales
Eleva tu práctica médica con tecnología de vanguardia
Diferenciación Competitiva
Ofrece un servicio único que pocos profesionales tienen en tu área, destacando tu práctica
Aumenta tus Ingresos
Casos reales reportan hasta un 40% de crecimiento en ingresos clínicos
Mayor Retención
Experiencia memorable que genera lealtad y referencias constantes
Medicina Preventiva
Detecta anomalías antes de que aparezcan síntomas, ofreciendo prevención real
Educación del Paciente
Visualización en tiempo real que facilita la comprensión y el compromiso
Resultados Inmediatos
Análisis y reporte profesional en la misma sesión, sin esperas
¿Por Qué Sangre Viva es Tu Ventaja Competitiva?
Mientras otros profesionales aún dependen solo de exámenes de laboratorio tradicionales
- Esperan resultados de laboratorio
- Solo tratan síntomas manifiestos
- Consultas estándar sin diferenciación
- Dependencia de terceros para diagnóstico
- Menor compromiso del paciente
- Diagnóstico visual inmediato
- Anticipas antes de los síntomas
- Experiencia sensorial y educativa
- Autonomía diagnóstica en tiempo real
- Máxima confianza y fidelización
Diagnóstico Visual Inmediato
Genera conexión y confianza con el paciente, transformando la consulta en una experiencia sensorial y educativa
Certificación Profesional
En medicina predictiva integrativa, posicionándote como autoridad con reconocimiento y mayor valor agregado
Pionero en Prevención Activa
Unión entre sangre viva, inteligencia artificial y prevención clínica, liderando el movimiento en el mundo
Especificaciones Técnicas
Tecnología médica profesional que transforma tu práctica clínica
Toma de Muestra
- Solo una gota de sangre capilar
- Procedimiento rápido y seguro
- Lanceta estéril desechable
- Mínimamente invasivo
Análisis en Tiempo Real
- Observación inmediata
- Sin conservantes químicos
- Sangre viva sin procesamiento
- Resultados instantáneos
Equipo Profesional
- Microscopios de alta precisión
- Cámara digital integrada
- Proyección en tiempo real
- Interfaz con sistema de IA
Soporte Continuo
- Capacitación especializada
- Actualizaciones periódicas
- Asistencia técnica permanente
- Certificación incluida
Campo Oscuro
- Microscopía de sangre viva
- Visualización celular detallada
- Identificación de patrones únicos
- Análisis morfológico avanzado
Microscopía de Contraste de Fase
- Estructuras internas celulares
- Claridad excepcional sin tinción
- Alteraciones morfológicas tempranas
- Interpretación más precisa
Potenciado por Inteligencia Artificial
Sistema inteligente que convierte datos visuales en informes objetivos con imágenes reales y lenguaje comprensible
IA + Microscopía Campo OscuroUna mirada más claraEn tu salud
Cómo funciona
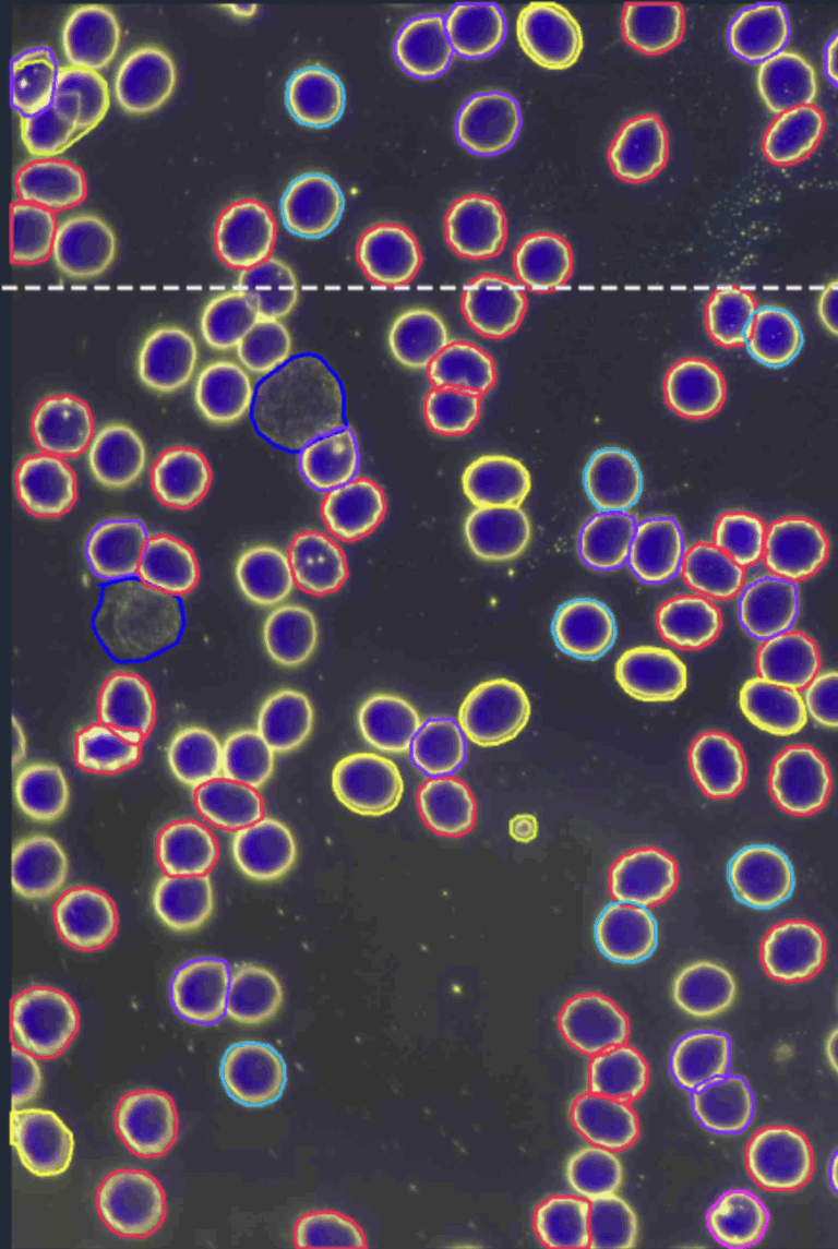
Sangre Viva utiliza imágenes sanguíneas de alta definición combinadas con inteligencia artificial para detectar y clasificar anomalías en glóbulos rojos, blancos y Bacterias. Nuestro sistema mejora la microscopía tradicional al identificar patrones celulares con rapidez y precisión.
Gota de sangre de la punta del dedo
Imágenes bajo microscopio digital Campo Oscuro
La IA detecta y clasifica anomalías al instante
Genera Reporte de anomalías con recomendaciones clinicas
-
Detección avanzada de IA
Nuestro sistema analiza miles de patrones de células sanguíneas al instante, detectando signos tempranos de posibles problemas de salud que los laboratorios tradicionales a menudo pasan por alto.
-
Precisión a nivel celular
No solo mostramos números: mostramos el estado real de sus glóbulos rojos, glóbulos blancos y plaquetas con precisión visual.
-
Información práctica sobre salud
Cada informe incluye recomendaciones que puede poner en práctica, desde apoyo con suplementos hasta mejoras en el estilo de vida, todo ello basado en señales biológicas reales.
Qué incluye
Informe de salud
Cada informe de Sangre Viva te ofrece más que solo datos: revela cómo funciona tu sangre y dónde necesita apoyo. Usamos IA para identificar anomalías clave y te proporcionamos información experta para ayudarte a actuar con prontitud.
- Imágenes de sus células sanguíneas reales
- Clasificación de anomalías (p. ej., Rouleaux, ovalocitos)
- Recomendaciones nutricionales y de estilo de vida
- Interpretaciones con respaldo clínico
- Opción de consultar con un profesional médico.
Testimonios
Con la confianza dePacientes y saludExpertos
Ya sea que trabajes en una clínica, seas un profesional médico o simplemente te ocupes de tu propia salud, Sangre Viva ha ayudado a cientos de personas a obtener claridad con solo una gota de sangre. Aquí tienes lo que dicen usuarios reales sobre su experiencia.
Sinceramente, no esperaba tantos detalles de una simple muestra de sangre. Los resultados de la IA fueron claros y las recomendaciones se entendieron de inmediato. Me ayudó a detectar un problema nutricional a tiempo.

Director del Centro de Salud
Como propietarios de una clínica, Sangre Viva nos ofrece una ventaja: análisis más rápidos, informes muy visuales y explicaciones intuitivas para el paciente. Une la tecnología con la atención médica real.

Cliente de bienestar
Siempre sentí que algo no iba bien, pero las pruebas regulares indicaban que todo estaba normal. Este informe reveló estrés celular y me orientó hacia los cambios adecuados. Me siento mejor que nunca.
Dra. Elena Muñoz
Especialista en Medicina